Orgazm otwiera nowe stany świadomości? Tak twierdzą naukowcy

Tak zdaje się wynikać z przeprowadzonych niedawno badań. Naukowcy sugerują, że mózg obserwowany za pomocą rezonansu magnetycznego zachowuje się podczas orgazmu jak w żadnym innym momencie, wykazując aktywność w zasadzie we wszystkich najważniejszych obszarach - w tym nietypowych.

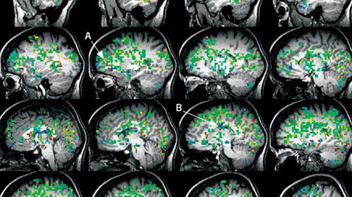
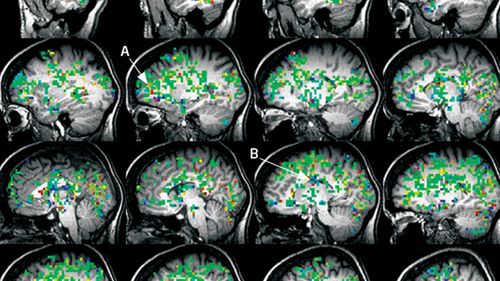
Orgazm otwiera nowe stany świadomości? Tak twierdzą naukowcy 1Kobiecy orgazm krok po kroku - literą A oznaczono korę przedczołową, a B... ośrodek bólu (źródło: NewScientist/Barry Komisaruk)
Piotr Dopart

Tak zdaje się wynikać z przeprowadzonych niedawno badań. Naukowcy sugerują, że mózg obserwowany za pomocą rezonansu magnetycznego zachowuje się podczas orgazmu jak w żadnym innym momencie, wykazując aktywność w zasadzie we wszystkich najważniejszych obszarach - w tym nietypowych.

Zespół Barry'ego Komisaruka z Rutgers University w Newark (New Jersey, USA) wykorzystał skanowanie fMRI, aby zbadać aktywność ludzkiego mózgu podczas szczytowania. Zauważono, że orgazmu nie osiąga się tylko w jeden sposób. Co więcej, niezależnie od metody szczytowania mózg osiąga bardzo nietypowy stan pobudzenia, obejmujący różne ośrodki.

Jednym z nich jest kora przedczołowa, czyli część odpowiedzialna m.in. za... postrzeganie własnej osoby i poprawne relacje społeczne, w tym empatię. Zjawisko to jest najmocniejsze w przypadku kobiet, ale także ludzi płci obojga zdolnych do doprowadzenia się do orgazmu wyłącznie za pomocą wyobraźni. Inne ośrodki ulegające pobudzeniu odpowiadają m.in. za dotyk, pamięć, a nawet ból - aktywuje się również tzw. układ nagrody (w czym nic dziwnego, zważywszy na jego alternatywną nazwę - ośrodek przyjemności).

Problem pojawił się, gdy badanie spróbował zreplikować Janniko Georgiadis z Rijksuniversiteit Groningen w Holandii. Okazało się bowiem, że w jego przypadku te same ośrodki "wyłączały się" - szczególnie dotyczyło to lewej kory oczodołowo-czołowej, która w dotychczasowych badaniach w przypadku pobudzania zwiększała popęd seksualny (i - co ciekawe - apetyt na jedzenie). Georgiadis twierdzi, że takie puszczenie hamulców nie występuje przy żadnej innej czynności i jest najlepszym przykładem zmienionych stanów świadomości:

Nie uważam, że orgazm wyłącza świadomość - uważam, że ją zmienia. Gdy zapytamy ludzi o ich postrzeganie szczytowania, słyszymy, że opisują je jako poczucie utraty kontroli. (...) Nie jestem jednak pewien, czy opisany efekt jest warunkiem osiągnięcia orgazmu, czy jego objawem.

Badacz uważa, że niemożność osiągnięcia tego stanu jest powodem występowania zaburzeń szczytowania.

Różnice w uzyskanych wynikach stosunkowo łatwo jest wyjaśnić. Badanie Komisaruka polegało bowiem na samopobudzaniu się osób badanych. Georgiadis zaś poszedł na całość - w jego eksperymencie osoby badane pobudzane były przez partnerów - co w dużej mierze eliminowało konieczność dowyobrażania sobie czegokolwiek. Drugi z badaczy uważa, że obecność partnera pomagać ma właśnie we wspomnianym puszczaniu hamulców i łatwiejszym osiągnięciu szczytu.

Niezależnie od tego, czy rację ma Georgiadis czy Komisaruk, ich badania pomogą wielu osobom - jeśli nie tym, które nie potrafią przeżywać orgazmu, to tym, które muszą radzić sobie z przewlekłym bólem.

Źródło: NewScientist

Źródło artykułu: WP Gadżetomania
Wybrane dla Ciebie
Postawili na podwórku szopę z serwerami. Rachunki za prąd spały o 90 proc.
Postawili na podwórku szopę z serwerami. Rachunki za prąd spały o 90 proc.
Nowa cyfrowa legitymacja w mObywatelu. Opcja dla 385 tys. osób
Nowa cyfrowa legitymacja w mObywatelu. Opcja dla 385 tys. osób
Belgia otworzyła ikoniczny dworzec-most. Powstawał dwie dekady
Belgia otworzyła ikoniczny dworzec-most. Powstawał dwie dekady
Pasożytnicza królowa przejmuje kontrolę nad kolonią mrówek
Pasożytnicza królowa przejmuje kontrolę nad kolonią mrówek
Astronom wykrył nietypowe sygnały z tajnych satelitów zakłócających sprzęt
Astronom wykrył nietypowe sygnały z tajnych satelitów zakłócających sprzęt
Odkryli je pod lodem. Naukowcy: to wyjątkowe znalezisko
Odkryli je pod lodem. Naukowcy: to wyjątkowe znalezisko
Policjant żąda odblokowania telefonu. Czy trzeba się zgodzić?
Policjant żąda odblokowania telefonu. Czy trzeba się zgodzić?
Było zapisane w Biblii. Trzęsienie ziemi sprzed 2800 lat
Było zapisane w Biblii. Trzęsienie ziemi sprzed 2800 lat
Google Maps z nowymi funkcjami. Sprawdź, co dodano
Google Maps z nowymi funkcjami. Sprawdź, co dodano
To zjawisko przechyla Ziemię. Ma wpływ większy, niż sądzono
To zjawisko przechyla Ziemię. Ma wpływ większy, niż sądzono
Starożytny hymn Babilonu odtworzony dzięki sztucznej inteligencji
Starożytny hymn Babilonu odtworzony dzięki sztucznej inteligencji
"Wiedźmin 4" z nominacją do The Game Awards 2025. Rywalizuje z "GTA VI"
"Wiedźmin 4" z nominacją do The Game Awards 2025. Rywalizuje z "GTA VI"
ZACZEKAJ! ZOBACZ, CO TERAZ JEST NA TOPIE 🔥