Skan mózgu wyjawił, że pacjent w stanie wegetatywnym potrafi udzielać prostych odpowiedzi

Dotąd uważano, że ofiary wypadków, które doznały uszkodzeń mózgu, osiągając stan wegetatywny nie myślą i nie posiadają świadomości. Tymczasem badania za pomocą rezonansu magnetycznego wykazały, że potrafią komunikować się w ograniczonym zakresie.

Skan mózgu wyjawił, że pacjent w stanie wegetatywnym potrafi udzielać prostych odpowiedzi 1
Artur Falkowski

Dotąd uważano, że ofiary wypadków, które doznały uszkodzeń mózgu, osiągając stan wegetatywny nie myślą i nie posiadają świadomości. Tymczasem badania za pomocą rezonansu magnetycznego wykazały, że potrafią komunikować się w ograniczonym zakresie.

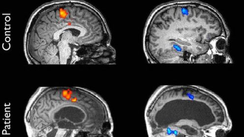
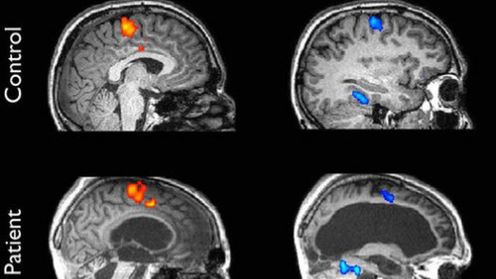
Przeprowadzone w Belgii badania, jak donosi New York Times, polegały na poddaniu pięćdziesięciu czterech pacjentów testom, w których mieli odpowiadać na zadane pytania poprzez wyobrażanie sobie konkretnej sytuacji: na przykład spaceru po ulicach domowego miasta lub uczestnictwa w meczu tenisowym. Pytania były sformułowane w ten sposób, by odpowiedź na nie mogła sprowadzić się do prostego "tak" lub "nie".

Badaniom poddano 54 pacjentów, z czego 24 nie było w pełni w stanie wegetatywnym, lecz posiadało minimalną świadomość. Wyniki okazały się intrygujące. U pięciu pacjentów, w tym u czterech teoretycznie pozbawionych możliwości myślenia, skan mózgu wykazał aktywność w momencie, gdy mieli udzielić odpowiedzi. Co więcej, jeden z pacjentów, który według dotychczasowej wiedzy medycznej miał być pozbawiony świadomości i zaawansowanych procesów myślowych, potrafił odpowiedzieć na stawiane pytania poprzez odpowiednie wyobrażenie. Pytano go na przykład o to, czy ma ojca o imieniu Thomas, odwołując się przy tym do jego wspomnień. Odpowiedzi były zawsze prawidłowe, a aktywność mózgu porównywalna z tą wykazywaną przez należących do grupy kontrolnej ludzi.

Sami naukowcy przyznają, że nie mamy tu do czynienia z cudownym sposobem na komunikację z osobami, które dotąd nie potrafiły się komunikować. Badacze porównują to do bardzo słabego połączenia przez telefon komórkowy, podkreślając jednocześnie, że odkrycie wymagać będzie przedefiniowania pojęcia "stanu wegetatywnego" i opracowania bardziej skutecznych metod dotarcia do osób z uszkodzonym mózgiem. Być może jednym z rozwiązań będą specjalne implanty?

Źródło: PopSci

Źródło artykułu: WP Gadżetomania
Wybrane dla Ciebie
Neandertalczycy nie "zniknęli". Zostali wchłonięci
Neandertalczycy nie "zniknęli". Zostali wchłonięci
Gigantyczna porażka rosyjskiej propagandy. Nikt w to nie gra
Gigantyczna porażka rosyjskiej propagandy. Nikt w to nie gra
Mapy Google z nową funkcją. Sprawdź wskaźniki
Mapy Google z nową funkcją. Sprawdź wskaźniki
Jeżowce z układem nerwowym przypominającym mózg
Jeżowce z układem nerwowym przypominającym mózg
Rzymski obóz wojskowy wysoko w Alpach. Niezwykłe odkrycie pełne artefaktów
Rzymski obóz wojskowy wysoko w Alpach. Niezwykłe odkrycie pełne artefaktów
Zaktualizuj Windows 10. Łatka rozwiązuje ważny problem
Zaktualizuj Windows 10. Łatka rozwiązuje ważny problem
Naukowcy ostrzegają. Jeziora w Amazonii parują w wysokich temperaturach
Naukowcy ostrzegają. Jeziora w Amazonii parują w wysokich temperaturach
Zajmuje 15 proc. całego globu. Co skrywa wnętrze Księżyca?
Zajmuje 15 proc. całego globu. Co skrywa wnętrze Księżyca?
Kupił chińską kartę graficzną. Dostał podrobiony sprzęt
Kupił chińską kartę graficzną. Dostał podrobiony sprzęt
Była ukryta po ziemią. Odnaleziono starożytną stolicę sprzed 2700 lat
Była ukryta po ziemią. Odnaleziono starożytną stolicę sprzed 2700 lat
Norma 36,6 st. C już nieaktualna. Temperatura zdrowego człowieka jest inna
Norma 36,6 st. C już nieaktualna. Temperatura zdrowego człowieka jest inna
Wyjątki przy zastrzeganiu numeru PESEL. Co warto wiedzieć?
Wyjątki przy zastrzeganiu numeru PESEL. Co warto wiedzieć?
ZACZEKAJ! ZOBACZ, CO TERAZ JEST NA TOPIE 🔥