Pędzelek pomoże w wykrywaniu raka

Oczywiście, nie taki znów zwyczajny pędzelek; i nie sam. Niemniej, jeśli nowa metoda zostanie wpisana do rejestru technik diagnostycznych przydatnych przy wykrywaniu raka, pacjenta - zamiast bolesnej biopsji - czekać będzie delikatne muśnięcie czymś na kształt szczoteczki do zębów.

Pędzelek pomoże w wykrywaniu raka 1
Katarzyna Kieś

Oczywiście, nie taki znów zwyczajny pędzelek; i nie sam. Niemniej, jeśli nowa metoda zostanie wpisana do rejestru technik diagnostycznych przydatnych przy wykrywaniu raka, pacjenta - zamiast bolesnej biopsji - czekać będzie delikatne muśnięcie czymś na kształt szczoteczki do zębów.

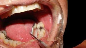
Specjalnej konstrukcji pędzelek jest tylko jednym z elementów składowych urządzenia do wykrywania zmian nowotworowych w jamie ustnej. Pacjent podczas badania, zamiast nieprzyjemnego ukłucia podczas pobierania tkanki do analizy histopatologicznej, poczuje delikatne muśnięcie po języku lub wewnętrznej stronie policzka.   To wszystko.

Diagnostyka zmian jest możliwa dzięki wbudowaniu w urządzenie nano-bio-chipów, wykrywających niebezpieczne uszkodzenia. Nano-bio-chipy to maleńkie, oparte na półprzewodnikach urządzenia, które dają możliwość lokalizowania i szybkiej analizy markerów biologicznych dla wielu chorób.

Urządzenie opracował zespół złożony z naukowców zatrudnionych w Rice University, University of Texas Health Science Centers w Houston i San Antonio oraz University of Texas MD Anderson Cancer Center. Jak podają uczeni, nowy sposób na wykrywanie raka jamy ustnej po pierwszych próbach zapowiada się bardzo obiecująco. Tym bardziej obiecująco, że zespół pracuje teraz nad wytworzeniem tanich nano-bio-chipów. To zaś oznacza podwójną korzyść dla pacjentów: diagnozowanie zmian nowotworowych w jamie ustnej nie tylko nie powinno boleć fizycznie (uniknie się bolesnej biopsji), ale nie powinno również powodować bólu z powodu ceny, jaką przyjdzie zapłacić za badanie.

Czy medycyna z boleśnie inwazyjnej choć raz zamieni się w "przyjemną w dotyku"?...

Źródło: Nanotechwire

Źródło artykułu: WP Gadżetomania
Wybrane dla Ciebie
Kiedy urodził się Jezus? Historycy mówią o jednym
Kiedy urodził się Jezus? Historycy mówią o jednym
Ołów, ścieki i tony odchodów. Mieszkańcy polegają na tej rzece
Ołów, ścieki i tony odchodów. Mieszkańcy polegają na tej rzece
Samsung zapowiada lodówki z Gemini. Sztuczna inteligencja Google'a trafi do kuchni
Samsung zapowiada lodówki z Gemini. Sztuczna inteligencja Google'a trafi do kuchni
PKO BP ostrzega przed oszustami. Zalecenia dla klientów
PKO BP ostrzega przed oszustami. Zalecenia dla klientów
Co tam się dzieje? Niezwykły wycinek lodu może rozwiązać tajemnicę
Co tam się dzieje? Niezwykły wycinek lodu może rozwiązać tajemnicę
Rzymianie wymyślili beton, który sam się naprawia? Nowe odkrycie
Rzymianie wymyślili beton, który sam się naprawia? Nowe odkrycie
Windows 11 z nową stroną do aktualizacji wszystkich aplikacji
Windows 11 z nową stroną do aktualizacji wszystkich aplikacji
Messenger zniknął z Windowsa. Oto rozwiązanie
Messenger zniknął z Windowsa. Oto rozwiązanie
Kultowe "Hogwarts Legacy" dostępne za darmo. Niespodzianka dla fanów gier
Kultowe "Hogwarts Legacy" dostępne za darmo. Niespodzianka dla fanów gier
Dzwonią z Holandii. Nie odbieraj, potem możesz tylko żałować
Dzwonią z Holandii. Nie odbieraj, potem możesz tylko żałować
Odkrycie w Gizie. Skany ujawniają sekretną przestrzeń w piramidzie
Odkrycie w Gizie. Skany ujawniają sekretną przestrzeń w piramidzie
Polacy uwielbiają te warzywa. Mogą pomagać w walce z jedną chorobą
Polacy uwielbiają te warzywa. Mogą pomagać w walce z jedną chorobą
ZANIM WYJDZIESZ... NIE PRZEGAP TEGO, CO CZYTAJĄ INNI! 👇